문의하기 아이콘
문의하기 텍스트
top 아이콘
CoreWiki

Development and technical application of BAS and ABS

ryoungwoo Jang, Clinical Strategy Team
ryoungwoo Jang, Clinical Strategy Team
Registration date2025. 02. 27
In head and neck imaging, the cerebral blood vessels are located inside the skull, so it is not possible to directly see them by simply taking a CT scan of the contrast-enhanced image. In order to see the cerebral blood vessels, it is necessary to remove the skull, which is called bone subtraction.

 

Volume rendering results of a CT image taken with contrast agent (left) and the vascular structures hidden by the skull (right)

The conventional bone subtraction method was to remove the bone area by matching the CT images taken with contrast agents to the CT images taken without contrast agents. This method is simple and easy to implement, but it has the disadvantage of being difficult to remove properly due to noise and movement of the subject. Therefore, we developed a technology called BAS (Brain Angiography Subtraction) in Coreline Soft.
BAS is basically an algorithm developed by training an artificial intelligence model. Artificial intelligence is used in the process of bone segmentation, and the mask created by segmenting the bone is used for registration.
However, BAS has the inherent problem of registration, and it has the disadvantage of producing poor results when the bone cannot be properly segmented due to the presence of artifacts such as stents or teeth, or when the registration is distorted due to artificial structures.
Therefore, the Automatic Bone Suppression (ABS) model was developed to directly remove bones from the contrast-enhanced image by segmenting only the bones. As described above, the ABS model does not require the registration process because the artificial intelligence model directly removes bones, and therefore it shows superior performance.

 

Performance comparison of BAS (left) and ABS (right).

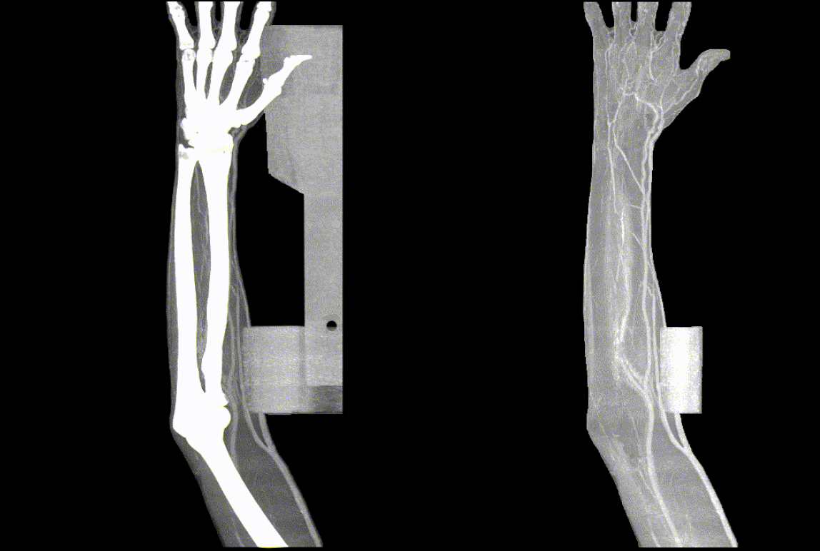
The AI model learned in this way not only shows superior performance to BAS, but also surprisingly shows that it works to some extent on images of other parts of the body other than head and neck images.

 

Application of ABS to upper limbs

In conclusion, ABS is expected to work well on the whole body if it is fine-tuned by adding a little learning data.

#AVIEW

#BAS

#ABS

#CT

#AI

#Skull

Contact

Please leave your inquiry if you have any questions regarding our products, recruitment, investment, or any other matters.

Contact us