문의하기 아이콘
문의하기 텍스트
top 아이콘
CoreWiki

BAS와 ABS의 개발과 기술적 응용

ryoungwoo Jang, Clinical Strategy Team
ryoungwoo Jang, Clinical Strategy Team
등록일2025. 02. 27
두경부 조영 영상에 있어서 뇌혈관들은 두개골 안에 위치하기 때문에 단순히 조영 영상을 CT로 촬영한다고 직접 확인할 수 있는 것이 아닙니다. 뇌혈관들을 확인하기 위해서는 두개골을 제거하는 과정이 필요하게 되며 이 과정을 bone subtraction이라고 합니다.

 

조영제를 넣고 찍은 CT 영상의 volume rendering 결과(좌)와 두개골에 가려진 혈관 구조물(우)

기존의 bone subtraction 방식은 조영제를 넣고 촬영한 CT 영상에서 조영제를 넣지 않고 촬영한 CT 영상을 정합하여 뼈 부분을 제거하는 방식이었습니다. 이 방식은 단순하여 구현이 쉽지만 노이즈, 대상의 움직임 등으로 인해 적절히 제거가 힘들다는 단점이 있었습니다. 따라서 코어라인 소프트에서는 BAS (Brain Angiography Subtraction)이라는 기술을 개발하게 되었습니다.
BAS는 기본적으로 인공지능 모델을 학습하여 개발된 알고리즘입니다. 뼈를 분할하는 과정에서 인공지능이 사용되게 되고 이렇게 뼈를 분할한 마스크를 사용하여 정합을 진행하게 됩니다.
하지만 BAS는 정합을 한다는 본질적인 문제점이 남아있게 되고 스텐트나 치아와 같이 인공물이 있어 뼈가 적절히 분할되지 못하거나, 인공 구조물로 인해 정합이 틀어질 경우 좋지 않은 결과를 보인다는 단점이 있습니다.

그래서 뼈만을 분할하여 조영 영상에서 직접 뼈를 제거하는 ABS (Automatic Bone Suppression) 모델이 개발되게 되었습니다. ABS 모델은 기술한 바와 같이 인공지능 모델이 뼈를 직접 제거하기 때문에 정합의 과정이 필요가 없고 따라서 우월한 성능을 보입니다.

 

BAS(좌)와 ABS(우)의 성능 비교.

이렇게 학습된 인공지능 모델은 BAS보다 우월한 성능을 보일 뿐 아니라 놀랍게도 두경부 영상이 아닌 다른 부위의 영상에서도 어느정도 작동함을 확인할 수 있습니다.
 

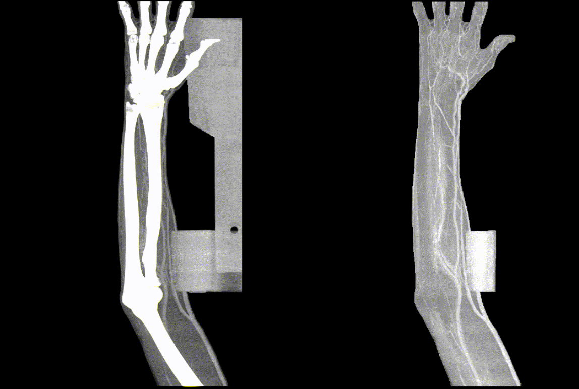
ABS의 상지에의 응용

결론적으로 ABS는 조금의 학습 데이터만을 추가하여 미세 조정을 하게 되면 전신에서 잘 작동할 수 있을 것으로 기대됩니다.

#AVIEW

#BAS

#ABS

#CT

#AI

#인공지능

#두경부

#조영

Contact

제품, 인재 채용, 투자 관련 또는 기타 문의사항이 있으신 경우 편하신 방법으로 연락주시기 바랍니다

문의하기